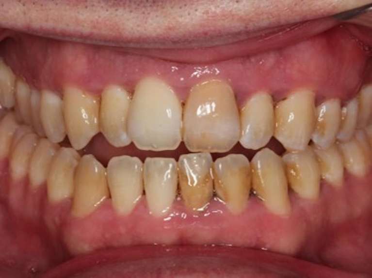
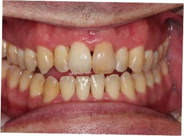
Periodontal Treatment in Alexandria, VA
Gum disease is more than just bleeding gums—it’s a silent threat that can undermine your oral health and overall well-being. At LIFE Advanced Integrated Dentistry in Alexandria, VA, Dr. Charissa Chin offers comprehensive periodontal treatment tailored to meet your unique needs.
How Your Gums Reflect Your Health
There is a symbiotic relationship between your oral health and your overall systemic health—what happens in one often affects the other. When gum disease develops, it doesn’t always stay confined to your mouth.
Untreated gum disease and oral inflammation can lead to complications like heart disease, diabetes, dementia, some cancers, and numerous other systemic health conditions.
Risk Factors for Periodontal Disease
Here at LIFE A.I.D., our dental team takes an integrated approach to dentistry by understanding the systemic risk factors that contribute to gum disease, including:
- Age and genetics —The risk of gum disease increases with age, affecting over 70% of adults 65 and older.
- Certain medications — Antidepressants and heart disease medications can cause dry mouth, which can lead to gum disease.
- Diabetes — People with diabetes are at higher risk due to a more susceptible immune system and increased susceptibility to infections.
- Pregnancy and hormonal changes — Changes in hormone levels during pregnancy and menopause increase the risk of gum inflammation.
- Smoking — Smoking is a significant risk factor because it weakens your body’s immune system, making it harder to fight off infections.




In the early stage of gum disease—gingivitis—treatment involves professional teeth cleaning and improved oral hygiene. Our hygienist will provide personalized tips for improving your brushing and flossing habits to avoid a recurrence of the disease.