Satisfied Patient Reviews:

Dental Crowns & Bridges in Alexandria, VA
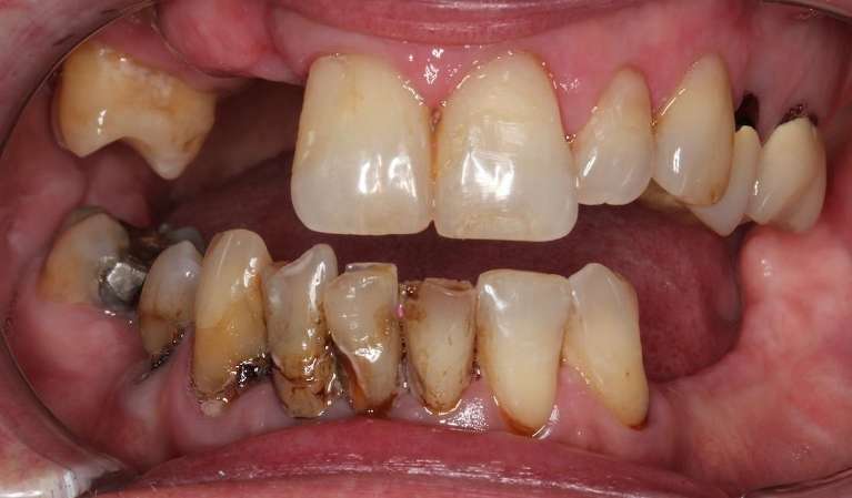
If a tooth is damaged or lost, we can help. We offer excellent solutions to restore teeth once thought hopelessly beyond repair.
Our goal at LIFE Advanced Integrated Dentistry is to keep your existing teeth strong and functioning properly for as long as possible.
Dr. Charissa Chin is your local dentist at d in the Alexandria, Virginia area. She provides advanced restorative care to help patients regain full dental function and confidence.
Find out more about dental crowns and dental bridges, along with the other replacement tooth options we use.
Let Dr. Chin Restore Your Smile with Long-Lasting Dental Bridges and Crowns
What is a Dental Crown?
A crown is a custom, tooth-shaped porcelain cover that encases the entire tooth above the gumline. It is sometimes known as a “cap.”
Dr. Chin may recommend a dental crown to protect your tooth when it’s too damaged or decayed to function on its own.
Types of Crowns
Your crown will be made from one or a mixture of various materials.
Types of dental crowns include:
Dr. Chin only uses highly aesthetic materials like porcelain, zirconia, and e-Max to crown teeth. All three are extremely durable. They can last 10 years or longer with proper care.
Where are Crown Used in Your Mouth?
Crowns can restore both front and back teeth. For front teeth, all-porcelain crowns are popular because they closely match the look of natural enamel. Zirconia crowns are another strong option.
For back teeth, strength matters most. Many dentists recommend zirconia crowns for their toughness and long-lasting performance.
Reasons Crowns are Used
Crowns are used if the tooth can’t hold up to biting pressure and everyday chewing. Receiving a crown helps support the tooth and evenly distribute pressure during use.
At LIFE A.I.D., we commonly use crowns to:
-
Support a cracked or broken tooth
-
Protect a tooth with a large filling
-
Reinforc
e a tooth after root canal treatment
-
Restore function and appearance to a dental implant
-
Rebuild the structure after extensive dental procedures
-
Rehabilitate the bite as part of a full mouth reconstruction
-
Cover a misshapen or discolored tooth
CALL ABOUT A CROWN TODAY
What is a Dental Bridge?
A dental bridge is a unit that’s designed to replace one or more missing teeth in a row. It can also restore areas with multiple missing teeth. The number of healthy teeth and the type of bridge determine the best support.
Here’s how a dental bridge works:
-
The dentist anchors an artificial tooth called a pontic between two adjacent healthy teeth, called abutment teeth.
-
The crowns attach to teeth on either side of the gap to support them. The pontic rests naturally in the space left by the missing tooth.
-
The false tooth and bridge structure that results is a stable, natural-looking restoration. Additionally, the restoration improves chewing and speaking abilities.
Types of Fixed Bridges
The following types of tooth bridges replace the gap with a durable solution that looks and feels natural.
Traditional Dental Bridge
A traditional bridge is the one most commonly used. It uses two crowns on adjacent teeth to support the replacement tooth securely in place.
Maryland Dental Bridge
A Maryland bridge uses a metal or porcelain framework bonded to the back of nearby teeth. It allows the dentist to preserve more of your natural tooth structure.
Cantilever Bridge
A cantilever dental bridge is supported by a single crown on one side of the missing tooth. The design makes it a versatile tooth bridge option when only one adjacent tooth is available.
Implant-Supported Bridge
Dr. Chin can also place bridges on top of dental implants. This implant-supported bridge gives the area maximum stability and longevity.
Reasons Bridges are Used
The dentist considers several factors for determining what type of bridge you need, including:
-
Your age (Dr. Chin doesn’t use bridges in children)
-
Tooth loss or the number of teeth you’re missing
-
Gap size and how much space needs to be filled
-
Whether there are natural teeth on both sides of the gap
-
The condition of the abutment teeth
-
The overall health of teeth and gums
For many of our patients, a bridge is the most practical choice.

Benefits of Crowns and Bridges
Dental bridges and dental crowns in Alexandria can restore your smile and replace missing teeth. Here are some of the benefits of enhancing your smile with these restorations.
Restores Function and Strength
Crowns can strengthen and protect weakened teeth, while bridges fill the gaps left by missing teeth. Both restorations allow you to chew and speak with confidence. They restore a damaged or missing tooth’s form, function, and chewing strength.
Improves Appearance
Crowns are designed to match the color and shape of your natural teeth, providing a seamless look. Dental bridges are custom-made to create a natural appearance so you can smile freely and confidently.
Long-Lasting
Dental crowns and bridges are crafted from strong materials designed to withstand the pressures of daily use. They can last for many years when cared for properly.
Second Chance at a Beautiful Smile
The purpose of dental crowns and bridges at our Alexandria dental office is to give your smile a second chance. These restorations ensure you can smile confidently and chew without pain or discomfort.
Need a Dental Bridge in Franconia, VA?
Look no further than the expert dental team at Life Advanced Integrated Dentistry if you’re looking for a dentist in Franconia, Va.! We strive to give every patient in our community a healthy smile they can be proud of.
Please contact our dental office at (703) 253-7399 to schedule an appointment.
CALL FOR AN APPOINTMENT NOWAdvanced Technology for Bridges and Crowns
Digital impressions are a giant leap forward in improving patient comfort and the outcomes of the results we produce for you.
Do you remember the big metal trays filled with pink paste that you had to hold in your mouth? It wasn’t the most pleasant experience, we know.
Digital impressions eliminate the need for this process in most cases.
Instead, we move a handheld intraoral scanner over our patients’ teeth at LIFE A.I.D. Dentistry. The scanner captures digital images and displays them on a computer monitor.
The result is a highly detailed 3-D virtual impression of your teeth. These images allow us to plan and design highly accurate and precise restorations.
SEE OUR TECHNOLOGY
Dental Bridges vs. Crowns
Dental crowns and bridges are two of the most popular restorative treatments for damaged or missing teeth. Both play an important role in rebuilding a healthy, functional smile.
Crowns restore a tooth’s strength and shape, protecting what remains of your natural structure. They also improve appearance and help prevent future damage by shielding weakened enamel from further wear or decay.
Bridges also improve your bite and smile, but they serve a different purpose. Instead of repairing an existing tooth, a bridge fills the space left by one or more missing teeth.
It connects artificial teeth to neighboring crowns, creating a stable, natural-looking restoration that restores balance, chewing ability, and confidence in your smile.
Steps for the Dental Crown Procedure
Here’s what to expect when your damaged tooth is repaired with a crown.
Step 1: Initial Appointment
Make an appointment with the dentist’s office at LIFE A.I.D. Our team will examine your damaged tooth and take X-rays to understand the extent of the problem.
Step 2: Treatment Planning
Plan on two visits to our Alexandria dental office if Dr. Chin recommends a dental crown. These visits will be spaced 2–3 weeks apart.
Step 3: Tooth Preparation
The first visit involves reshaping the tooth to prepare it for the crown. Dr. Chin also removes any decay to create a stable base for your new restoration.
Step 4: Digital Impressions and Shade Selection
Dr. Chin takes comfortable digital impressions and chooses the perfect shade to match your surrounding teeth. The impressions are sent to a certified U.S. dental laboratory.
Step 5: Temporary Crown Placement
A temporary crown is placed on the prepared tooth to protect it. Meanwhile, the permanent crown is gets made.
Step 6: Custom Crown Fabrication
Over the next few weeks, a skilled technician will design your crown. It will meet our highest standards for fit and appearance once finished. The resulting crown will be extremely durable, too.
Step 7: Permanent Crown Placement
Once your permanent crown arrives, you’ll return for your second visit.
Dr. Chin will:
The result is a strong, natural-looking restoration that improves both comfort and function.
BOOK YOUR APPOINTMENT NOWSteps for the Dental Bridge Procedure
Some steps below are similar to the crown procedure. However, bridges typically involve more than one tooth.
Here’s what happens when you get a dental bridge at LIFE A.I.D.
Step 1: Initial Appointment
Make an appointment with the dentist’s office. Our team will examine your teeth and take X-rays to determine if nearby teeth can support a bridge.
Step 2: Treatment Planning
Plan on two visits to our Alexandria dental office if Dr. Chin recommends a dental bridge. These visits will be spaced 2–3 weeks apart.
Step 3: Tooth Preparation
The first visit involves reshaping the abutment teeth to prepare them for crowns that will hold the bridge in place.
Step 4: Digital Impressions and Shade Selection
Dr. Chin takes comfortable digital impressions and selects the perfect shade to match your natural teeth. The impressions are sent to a certified U.S. dental lab.
Step 5: Temporary Bridge Placement
A temporary bridge is placed to protect the prepared teeth while the permanent bridge is being made.
Step 6: Custom Bridge Fabrication
Over the next few weeks, a skilled technician will design your bridge for optimal fit. The bridge is then crafted to ensure lasting durability and natural aesthetics.
Step 7: Permanent Bridge Placement
You’ll return for your second visit once your permanent bridge arrives.
Dr. Chin removes the temporary bridge and checks the new one for fit and bite at this visit. Next, she bonds the wings of the bridge in place with strong dental cement.
The finished bridge restores your bite and helps you speak clearly.
BOOK YOUR APPOINTMENT NOWAre Dental Bridges Permanent?
Dental bridges are definitely a durable tooth replacement option. But they’re not permanent. The good news is that most bridges last several years with proper care.
Factors That Affect Longevity
-
Materials: The material your bridge is made of affects how long it lasts. Porcelain and ceramic bridges tend to last longer.
-
Maintenance: Proper oral hygiene extends the life of your bridge.
-
Lifestyle: Biting hard objects or chewing certain foods can shorten your bridge’s lifespan.
-
Support: The bridge depends on the health of adjacent teeth. Weakened or damaged support teeth can reduce its durability.
Satisfied Patient Reviews:

Are Dental Crowns the Same as Dental Implants?
No, they serve different purposes. They both create a strong, natural-looking result. Understanding the difference lies with knowing how implants function.
A dental implant is a metal post surgically placed into your jawbone beneath the gums.
The bone fuses to the post in a healing process known as osseointegration. This process forms a stable, long-lasting foundation for a replacement tooth supported by metal implants.
Let Dr. Chin Restore Your Smile with Long-Lasting Dental Bridges and Crowns
Dental Implants, Crown or Bridge?
So, which of the three do you need? The answer depends on your specific dental needs and the condition of your teeth.
Your dentist may recommend a dental crown to restore strength and shape if your actual teeth are damaged or decayed. A crown reinforces and protects the tooth structure. It allows you to chew comfortably and preserve your natural bite.
Your dentist may suggest fixed bridges or dental implants if you have a missing tooth or some of your other teeth are missing.
A fixed bridge can replace one or more teeth in a row, restoring your smile’s function and balance.
Dental implants, on the other hand, act as false teeth. They replace the entire tooth from root to crown, offering the longest-lasting and most stable solution.
Both options improve appearance, protect surrounding teeth, and help you maintain long-term oral health.
Precisely Placed Dental Crowns and Bridges in Alexandria, VA
Our experienced dental team in Alexandria can help you navigate the dental restoration process with crowns or bridges. Contact the LIFE Advanced Integrated Dentistry team to schedule your consultation with Dr. Charissa Chin today!
Are Dental Bridges Permanent?
Dental bridges are definitely a durable tooth replacement option. But they’re not permanent. The good news is that most bridges last several years with proper care.
Factors That Affect Longevity
-
Materials: The material your bridge is made of affects how long it lasts. Porcelain and ceramic bridges tend to last longer.
-
Maintenance: Proper oral hygiene extends the life of your bridge.
-
Lifestyle: Biting hard objects or chewing certain foods can shorten your bridge’s lifespan.
-
Support: The bridge depends on the health of adjacent teeth. Weakened or damaged support teeth can reduce its durability.
BOOK YOUR APPOINTMENT NOW
Taking Care of Your New Teeth
Good oral care helps protect your restorations and the health of your natural teeth. A simple routine and regular checkups keep your smile strong and lasting.
Brushing and flossing along the gums and scheduling regular dental checkups along the gums is the foundation of good oral hygiene.
Those two habits protect your artificial teeth and gums. They also keep your surrounding natural teeth healthy.
Practice Daily Oral Hygiene Routine
The American Dental Association recommends brushing your natural and replacement teeth with a soft-bristled toothbrush for two minutes twice a day to maintain good oral health.
You should also clean between your teeth with interdental brushes like dental floss or picks. Some patients prefer using water flossers, and they clean between teeth and gums too.
Tongue scrapers and mouth rinses can also aid your daily oral hygiene routine.
Talk to Dr. Chin about the oral hygiene tools discussed here to find out which ones she recommends.
Go to Routine Dental Appointments
Regular cleanings at preventative dental checkups help keep your crowns and bridges in good condition. Over time, they can become loose or fall out from damage caused by chewing hard foods or other hard objects.
Gum disease that leads to tooth or bone loss is another reason crowns or bridges may loosen.
Prevent Wide Gaps and Tooth Movement
Gaps from missing teeth can cause nearby teeth to rotate or shift into empty spaces. This movement can lead to a bad bite and make chewing or speaking difficult.
Replacing a missing tooth or teeth promptly helps maintain proper alignment and supports overall oral health.
Make Your Bridges and Crowns Last
As you can see:
-
Both dental crowns and bridges can last many years with good oral hygiene and consistent home care.
-
Going to routine dental appointments keeps your restorations clean and checks for early signs of wear or loosening.
-
Replacing missing teeth promptly prevents neighboring teeth from shifting and maintains healthy gums and alignment.

Solutions for Broken and Missing Teeth in Alexandria, VA
Restoring broken or decayed teeth and replacing missing teeth is essential for oral health and overall wellness. Please call LIFE Advanced Integrated Dentistry to schedule an appointment to see how we can help you.
We serve patients in Alexandria, Va. and these surrounding communities:
-
Franconia
-
Kingstowne
-
Springfield
-
West Springfield
-
North Springfield
-
Fairfax
-
Lincolnia
-
Annandale
-
Manassas
-
Falls Church
BOOK YOUR APPOINTMENT NOW