Dental Implants & Bone Grafting in Alexandria, VA
Do you find it difficult to chew your favorite foods? Are you hiding your smile because of missing teeth or feeling discomfort when speaking?
You may not know it, but tooth loss can affect more than just your confidence. It can change how you eat and talk. Without timely treatment, it can even change the shape of your face.
At LIFE Advanced Integrated Dentistry, we restore smiles through advanced dental implant and bone grafting procedures. They are designed to restore both your function and appearance.
Our goal is to help you regain a healthy bite, natural smile, and lasting comfort.
5-Star Google Review by Loyal Patient Patrick Curtin

Why Replacing Missing Teeth Matters
Missing teeth can affect your self-confidence and the way you interact with others. It can also affect your ability to eat the foods you love.
Dental implants can help with this, and it’s best to set up an appointment at LIFE Advanced Integrated Dentistry in Alexandria, VA sooner rather than later. Thay way, our team can help eliminate the consequences missing teeth can cause.
Consequences of Leaving Missing Teeth Untreated
Untreated missing teeth can lead to a number of oral health problems that worsen over time. A missing tooth can lead to gradual changes in your mouth over time.
You may experience:
- Jawbone loss at the site of the missing tooth
- Shifting of neighboring teeth, causing crowding or spacing issues
- Bite misalignment that leads to jaw discomfort
- Difficulty chewing and properly digesting food
- Changes in facial structure, leading to a sunken appearance over time
- More complex restorations in the future as bone loss progresses
Addressing tooth loss early with expert care not only protects your oral health but also prevents long-term complications.
Why Patients Trust Alexandria-based Dr. Chin for Complex Dental Procedures
Patrick Curtin’s experience reflects what so many patients appreciate about Dr. Charissa Chin’s care.
He describes her as an excellent dentist who takes time to explain every option and provide clear guidance through complex dental needs.
That same level of communication and trust defines her approach to dental implants and bone grafting at LIFE Advanced Integrated Dentistry.
What are Dental Implants?
If you’re new to dental implants here’s a brief definition that the U.S. Food and Drug Administration gives:
“Dental implants are medical devices surgically implanted into the jaw to restore a person’s ability to chew or their appearance. They provide support for artificial (fake) teeth, such as crowns, bridges, or dentures.”
Additionally, dental implant surgery is a popular alternative to bridgework. It’s an effective way to create a healthier smile. These tooth replacements come closest to natural teeth in form, function, and appearance.
Structure of a Dental Implant
Dental implants are versatile and can replace single or multiple teeth. How it’s implanted will depends on your unique needs and the dentist’s recommendations.
A dental implant is made up of three main parts, the:
- Implant post (bottom)
- Abutment (middle)
- Dental crown (top)

How Do Dental Implants Work?
The implant post is a small titanium screw that your dentist surgically inserts into the jawbone. This post replaces the natural tooth root and provides a strong, permanent foundation for artificial teeth.
Over time, the bone fuses with the titanium to ensure long-term stability.
Attached to the post is the abutment, a connector piece that supports and secures the restoration placed on top.
The visible, restoration part is custom-made. The dental lab matches the color, shape, and size of your natural teeth. When Dr. Chin installs it, the result is a natural-looking smile.

Before deciding on dental implants as a solution, talk to Dr. Chin about the potential risks and benefits. She’ll also evaluate whether you are a candidate for the implant procedure.
Are You a Good Candidate for a Dental Implant?
Before deciding on dental implants as a solution, talk to Dr. Chin about the potential risks and benefits. She’ll also evaluate whether you are a candidate for the implant procedure.

When You Need a Bone Graft
Sometimes you will need a dental bone graft for tooth implant. Bone grafting promotes new bone growth. It also prevents bone resorption and collapse of the ridge.
When successful, you’ll have enough bone width for a successful implant placement.
Bone Grafting for Tooth implants in Alexandria, VA
Our team at LIFE Advanced Integrated Dentistry expertly replaces missing teeth with dental implants as part of our integrated approach to dentistry.
The result is a fully functional, natural-looking smile. It allows you to eat the foods you love, speak clearly, and share a confident smile with everyone you meet.
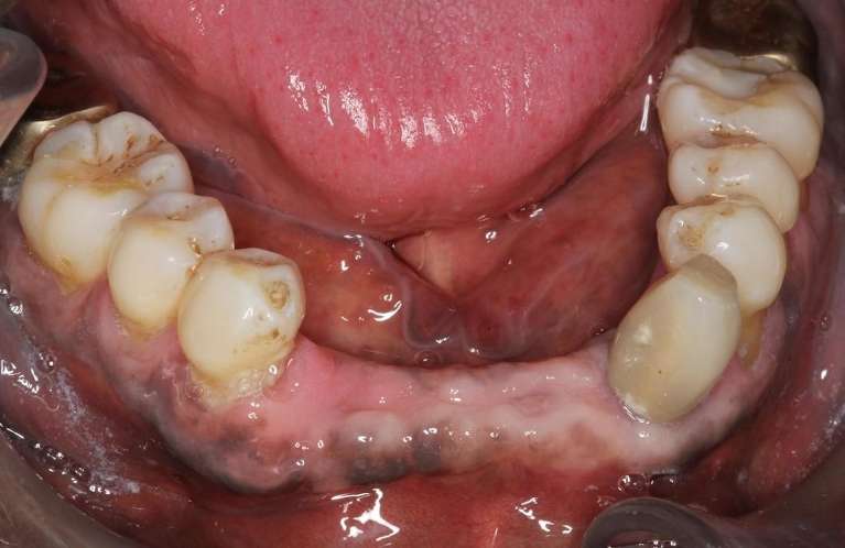
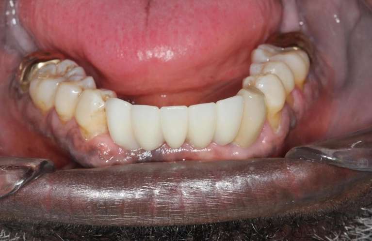
Single or Multiple Tooth Replacement
Do you avoid smiling because of the gap your missing tooth or teeth leaves? You can remedy this difficulty by replacing your real tooth with a dental implant. You can replace a single tooth or undergo multiple tooth replacements.
If You Want to Replace a Single Tooth
If you are missing a single tooth, we place one implant in the empty socket. After healing, we top it with a custom, color-matched crown. The process gives you a seamless restoration that blends perfectly with your smile.
If You Want to Replace Multiple Teeth
An implant-supported bridge or implant denture may be the perfect solution to address multiple missing teeth. Multiple implants support these prosthetics to complete your smile and restore comfortable chewing.








